唐山某健身房设备调试导致会员受伤,不赔钱还要弄死你!
唐山信息港 发表于:2016-7-4 22:01 复制链接 看图 发表新帖
阅读数:2393
2016年3月14日华北理工大学学生张某在阳光100健身连锁健身期间,因健身房跑步机调试致张某摔倒,多次与健身房交涉,对方不仅不赔钱还扬言要弄他!

9ac368aaa9e7921a3fbfb135c907673e.jpg

(张某受伤的部位)华北理工大学学生张某在阳光100健身连锁健身期间,因健身房跑步机调试致张某摔倒,并导致一颗门牙断裂,一颗门牙隐裂,嘴唇撕裂,身体多处摔伤,后健身房无人处理,张某自行去医院治疗。3月15日

张某找健身房协商,健身房总经理阮某拒不承认跑步机调试,一再强调跑步机无任何问题,张某拿出前一天和健身房聊天录音后健身房才承认跑步机调试。之后张某多次找健身房协商,健身房一直以健身房有保险需保险公司解决为由推脱客户,并以公司保险需要报销为由将客户各种治疗凭证原件要走。6月17日

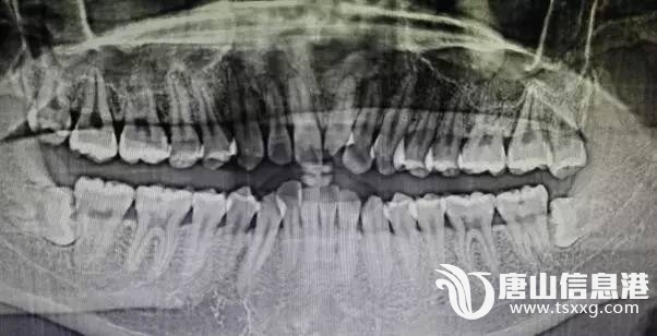
d9715c1863789871fac9c8ae473b346f.jpg
(张某医院诊断结果)张某从健身房要到保险公司电话,通过跟保险公司沟通,保险公司回话:①保险公司与健身房保险合同上已写明牙齿属于整容范畴,不在保险范围内;②被保人是健身房,与张某无关,需张某自行与健身房协商理赔事宜。6月20日张某与健身房总经理阮某电话沟通,并将保险公司告知阮某后,在与其协商期间,阮某辱骂张某,后张某等人去健身房与阮某理论,阮某扬言要找社会上人弄张某。


(唐山阳光100健身连锁 位于龙富南道和建设北路交叉口,人民购物广场西侧)
返回列表 使用道具 举报
条评论
您需要登录后才可以回帖 登录 | 立即注册
相关推荐
©2001-2021 唐山信息港 http://www.tsxxg.com冀ICP备16001780号-4
首页联系我们客服微信:14369595Comsenz Inc.
bdall.peaapk.com xtrb.peaapk.com hdwxxg.peaapk.com qhdceo.peaapk.com tsxxg.peaapk.com lyshangdu.peaapk.com hsrb.peaapk.com lanfxx.peaapk.com chengdenews.peaapk.com szyongdian.peaapk.com dtnews.peaapk.com yqnews.peaapk.com changzhinews.peaapk.com jcnews.peaapk.com sxjzxww.peaapk.com sxycrb.peaapk.com lfxww.peaapk.com sxllnews.peaapk.com nmgnews.peaapk.com baotounews.peaapk.com tlsxxg.peaapk.com bynesrmtzx.peaapk.com shenyangx.peaapk.com dlxxgs.peaapk.com northtimes.peaapk.com jilin.peaapk.com ccxxg.peaapk.com 0437.peaapk.com ybrbnews.peaapk.com avapk